您现在的位置: 首页 > 专家观点
心康病例分享|【山重水复疑无路,柳暗花明又一村】一例重症肺炎患者的康复之路
作者: 双心疾病诊疗 来源:心脏康复与双心疾病诊疗发布时间:2024-04-26

病历简介


姓名:陈*  性别:女,年龄:74岁
主诉:因“气喘、呼吸困难伴咳嗽咳痰2天”入院。


【现病史】患者于2012年12月31日夜间出现气喘,自觉呼吸困难,诉有咳嗽咳痰,具体痰液性质不详。次日凌晨转至外院急诊救治,予以吸氧、雾化等治疗,患者状态无明显好转,继而转至我院急诊内科,患者呼吸困难加重伴有血氧下降,急诊抢救室予以气管插管并呼吸机辅助通气。患者起病未诉有胸痛不适,血氧下降前无明显意识障碍,无明显恶心呕吐,无肢体活动障碍。急诊检查提示酸中毒伴有肺部感染,炎症指标显著升高,BNP上升等,现以肺部感染、呼吸困难,代谢性酸中毒等入住我院重症监护室。

【既往史】往有可疑肺结核病史,具体不详。1年余前因“血钾低”于外院输液。本月23日(入院前8天)患者因发热、咳嗽在家自测核酸提示新冠病毒抗原阳性。

【个人史】出生原籍,无地方病或传染病流行区居住史,无毒物、粉尘及放射性物质接触史,生活习惯较规律,无吸烟、饮酒史,无冶游史,否认传染病接触史;按时接种疫苗。

【婚育史】不详

【月经史】不详

【家族史】否认家族性遗传病病史

【入院查体】T:39.3℃,P:128次/分,R:17次/分,BP:103/62mmHg

【专科查体】颈动脉搏动正常,颈静脉无怒张。 双肺呼吸音弱,未闻及干啰音,未闻及胸膜摩擦音。心界左下扩大,心率78次/分,律齐,未闻及病理性杂音及心包摩擦音。

辅助检查

2022-12-31检验指标:

图片

图片

2022-12-30心脏彩超:轻度三尖瓣返流,轻度肺高压。

图片

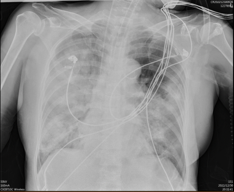
2022-12-30胸片:考虑双肺广泛渗出,主动脉粥样硬化

图片

2022-12-31心电图:窦性心动过速

【入院诊断】1.重症肺炎(主诊断);2.脓毒症休克;3.多脏器功能不全;4.代谢性酸中毒

【诊治经过】呼吸机辅助通气、抗感染、激素消炎、辅以护胃、营养支持

图片

患者从2012年12月31日入院,至2023年2月13日,住院时间长,临床病情稳定,但多次因呼吸功增加患者不耐受导致撤机困难,请心脏康复科会诊协助心肺康复。

康复前评估

2023-2-13检验指标

图片

2023-2-8心脏彩超:轻度三尖瓣返流。

图片

2023-2-8下肢彩超:右侧股总静脉部分血栓形成。

图片

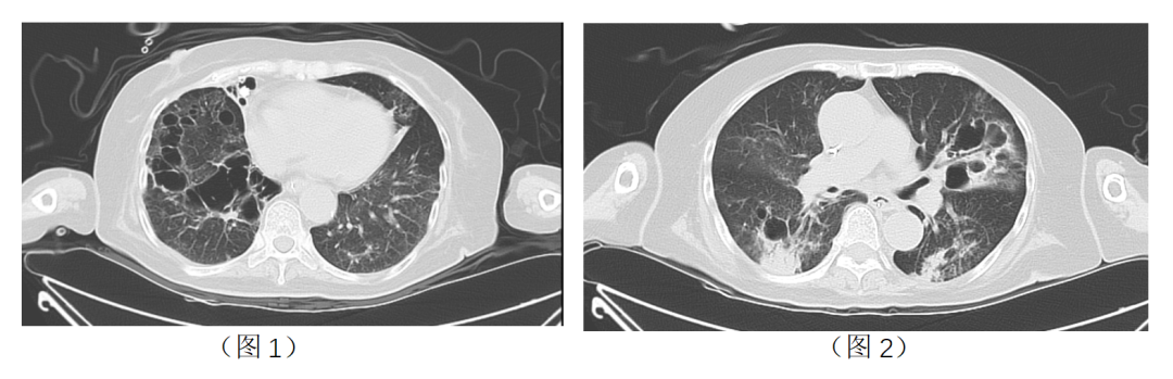
2023-2-8胸部CT:(见图1、图2)

  • 考虑双肺感染,多发脓肿及空洞形成,支气管扩张。

  • 对比2023-01-30胸部CT,部分空洞较前稍缩小,余大致同前

图片

2023-2-12胸片

图片

2023-2-13血气分析

图片

2023-2-13康复专科评估

图片

康复评估的主要功能障碍

  • 呼吸机依赖

  • 气道廓清功能下降

  • 肺容量下降

  • 气体交换障碍

  • 心肺耐力下降

  • 肌肉功能障碍

  • 右侧股总静脉部分血栓形成

  • ADL重度依赖

  • 社会参与能力下降


短期治疗目标:提高患者呼吸肌功能、气道廓清功能,尽早进行自主呼吸试验,促进自主呼吸,尽早脱机。

康复治疗

第一阶段(第1-4天):

1.体位管理:侧卧位→半坐位→长坐位→椅坐位

图片

2.气道廓清技术:ACBT、体位引流、叩击

3.膈肌电刺激治疗

4.呼吸机模式调整:呼吸机模式:SIMV模式→CPAP模式(第一天)

图片

5.自主呼吸试验(SBT试验):实施SBT计划(第二天开始)


通过康复评估患者的骨骼肌和呼吸肌肌肉力量及耐力较差,且之前曾多次撤机失败,制定了以下SBT计划。


图片

图片

6.肢体功能训练:

  • 被动运动:维持关节活动度

  • 辅助主动运动:增加肌肉力量

  • 双下肢电刺激治疗

图片

注意事项:治疗的每一天都需评估生命体征、血气分析和心肺听诊等,观察患者精神状态,观察双侧下肢腿围、皮肤颜色和温度,足背动脉情况,询问患者治疗中的疲劳度:RPE 11-13。每天的评估是为了安全和及时调整治疗方案。

第二阶段(第5-10天):经SBT试验后,成功脱机!改为氧疗模式

1、吸气肌训练:测出最大吸气压,经气切管进行吸气肌训练

图片

2、体位管理:长坐位→椅坐位

图片

3、气道廓清技术:ACBT、叩击、呼气正压振动排痰(经气切导管)

图片

4、膈肌电刺激治疗

5、肢体功能训练:被动运动、辅助主动运动、双下肢中频电刺激治疗

图片

6、吞咽训练:舌肌训练、软腭上提训练、面部肌群主动性训练、发声训练等

第三阶段(第11-16天):

1、试堵管训练:0.5-3小时

2、吸气肌训练:经嘴进行吸气肌训练

图片

图片

3.体位管理:长坐位→椅坐位

图片

4、气道廓清技术:ACBT、呼气正压振动排痰(经嘴)、咳嗽训练

5、膈肌电刺激治疗

6、肢体功能训练:被动运动→辅助主动运动

  • 双下肢中频电刺激治疗

  • PNF技术:增加关节的稳定性和控制能力

  • 平衡训练:坐位平衡训练

图片

图片

7、吞咽训练:舌肌训练、软腭上提训练、面部肌群主动性收缩、发生训练等

心脏康复五大处方

药物处方、运动处方、心理处方、营养处方、戒烟处方

【药物处方】

  • 利伐沙班

  • 美托洛尔缓释片

  • 乙酰半胱氨酸溶液

  • 异丙托溴铵溶液

  • 抗生素(适时调整) 


【营养处方】

  • 肠内营养乳剂、蛋白粉


【心理处方】

  • 躯体语言拉进与患者距离;

  • 给予支持性帮助,如进行宣教,让患者正确认识疾病,克服恐惧和焦虑,

  • 给予情感支持和合理的解释和引导


【戒烟处方】

  • 无吸烟史,告知避免二手烟


康复后评估

2023-3-1康复专科评估

图片

2023-3-1检验指标

图片

【出院】

2023-3-1:经过临床治疗,以及两周的床边心脏康复介入,患者无发热、无呼吸困难,感染指示进行性下降,脱呼吸机后氧疗,生命体征平稳,转当地医院继续巩固治疗

参考文献:

[1]Patricia, Arias-Fernández, Macarena, et al. Rehabilitation and early mobilization in the critical patient: systematic review.[J]. Journal of Physical Therapy Science, 2018.

[2] Zhang L , Hu W , Cai Z , et al. Early mobilization of critically ill patients in the intensive care unit: A systematic review and meta-analysis[J]. PLoS ONE, 2019, 14(10):e0223185.

[3] Nava S , Fasano L . Inspiratory muscle training in difficult to wean patients: work it harder, make it better, do it faster, makes us stronger[J]. Critical Care, 2011, 15(2):153-153.

[4] Ghiani A, Tsitouras K, Paderewska J, Milger K, Walcher S, Weiffenbach M, Neurohr C, Kneidinger N. Incidence, causes, and predictors of unsuccessful decannulation following prolonged weaning. Ther Adv Chronic Dis. 2022 Aug 5;13:20406223221109655. doi: 10.1177/20406223221109655. PMID: 35959504; PMCID: PMC9358569.

[5]朱丽月,梁崎.心肺疾患康复治疗技术[M],人民卫生出版社,2019


问题讨论及专家点评

1、该患者意识清楚,能配合治疗,达到目标疗效,但如果该患者意识不清,无法配合,治疗方案该如何调整?

专家点评:对患者的康复治疗必须是在经过临床治疗,生命体征稳定的前提下,先评估影响患者不能脱机的主要原因,再针对主要原因进行相应的治疗。对于该患者需排除是否有因为误吸导致的肺炎,如果有,需去除引起误吸的因素。对意识不清,无法配合的患者可选择被动的治疗方式,体位管理仍是重要的,可改善患者的通气血流比。如想促进患者痰液排出可使用体位引流、扣拍、震动等手法,如想改善患者的自主呼吸可选择使用肋弓弹跳技术、呼吸神经促进技术、增加本体觉的治疗方式等技术。想增强吸气肌力量可利用呼吸训练仪通过气切套管进行训练,也可结合呼吸机参数的调节、膈肌电刺激。治疗中也可配合促醒技术。

2、患者脱机后的治疗重点放在哪一方面?

专家点评:患者在重症监护室经过治疗后病情相对稳定,但因无法撤呼吸机,无法转科,住院时间长,所以康复的首要重点是提高患者呼吸功能,尽早撤机,可以转出重症监护病房。目前的康复治疗已达早期康复目标,实现脱机并转院。接下来的康复重点应放在吞咽康复和呼吸功能的进一步提高。患者脱机后吞咽功能虽有提高,但洼田饮水试验是2级,仍有误吸风险。患者咳嗽功能是弱功能,当误吸发生时不一定能及时、有效地咳嗽,当误吸的量和频率增加时,患者得吸入性肺炎的风险大大增加,按着患者目前的心肺功能储备,一次或反复的吸入性肺炎就可能让患者重回重症监护室,所以脱机后治疗重点要放在吞咽康复上,改善吞咽功能,减少误吸的发生,同时加强呼吸功能训练。

3、患者出院前虽有功能好转,但生活仍不能自理,如何让患者转院后继续康复,如何追踪患者的康复情况?

专家点评:在患者住院期间,医务人员多与患者宣教康复的意义和重要性,添加患者或其家属的联系方式,比如电话和微信,让其在微信关注相关公众号及了解科普文章或科普视频,嘱咐患者有任何疑问可微信或电话联系指定医务人员,负责随访的医务人员在患者转院后定时联系患者,了解患者的身体和心理状况,以及康复情况。这可增加患者的信任感和依从性,可让医务人员追踪患者的身体和康复情况。

  • 撰写:刘美凤(惠州市第三人民医院)

  • 指导老师:刘智

  • 编辑、排版:刘智

  • 校对:谭淑媛

  • 审稿:张国林

  • 总监制、总顾问:马欢



声明:
1.本网站所有内容,凡是注明 “来源:心脏康复网”的文字、图片和音视频资料,授权转载时须请注明“来源:心脏康复网”。
2.本网所有转载文章系出于学术分享的目的,版权归原作者所有。如有侵权,请及时联系我们更改或删除。


相关阅读:
分享到:
登录后参与评论

登陆/注册

通过手机验证码即可完成注册登陆